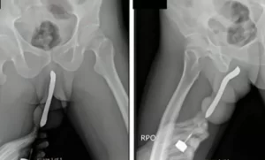
Um homem precisou de atendimento médico de emergência nos Estados Unidos após um episódio inusitado que gerou complicações de saúde. Ele foi levado às pressas para o hospital depois que uma cenoura de aproximadamente 20 centímetros ficou presa em sua cavidade retal, exigindo intervenção médica especializada para a remoção do objeto.
O caso chamou a atenção da equipe de emergência, que prontamente avaliou a situação e realizou o procedimento necessário para garantir a segurança do paciente. No entanto, ao ser questionado pelos médicos sobre como o objeto foi parar ali, o homem não conseguiu fornecer uma explicação clara.
Sigilo médico e conduta profissional
Em conformidade com o código de ética médica, o hospital se limitou a confirmar a ocorrência, mas não divulgou detalhes adicionais sobre o estado de saúde do paciente ou sua identidade. A instituição reforçou que situações desse tipo, apesar de inusitadas, são tratadas com total profissionalismo e respeito à privacidade dos envolvidos.
Participe do nosso grupo de notícias no WhatsApp: 👉 Quero Participar 🔔
Casos como esse não são isolados e frequentemente exigem atendimento especializado para evitar complicações, como perfurações ou infecções. Profissionais da saúde alertam que, em situações semelhantes, a busca por ajuda médica imediata é essencial para evitar riscos graves à saúde.
Compartilhe
📱 Participe do nosso grupo no WhatsApp e receba as notícias em tempo real:
Grupo do WhatsApp





